Case Review
ฟันล่างคร่อมฟันบน แก้ไขคางยื่น
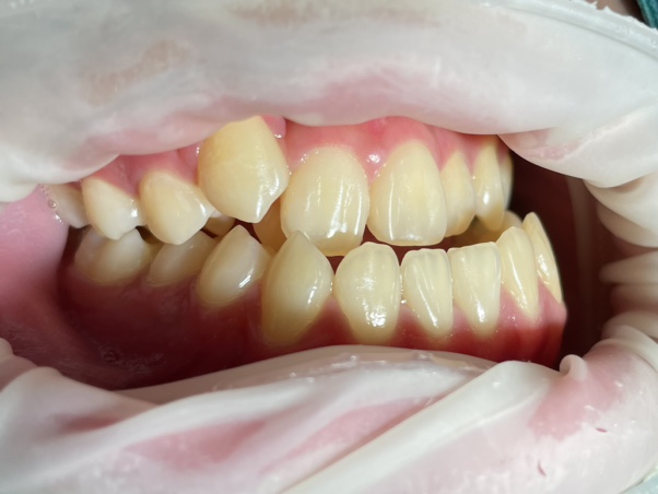
examination
ฟันบนซ้อน
ฟันหน้าด้านบนซ้อน สบไขว้กันกับฟันล่าง
ฟันล่างยื่น คางยื่น
ฟันล่างยื่นออกมา กัดคร่อมกับฟันหน้าบน
การสบฟันแบบ Class III ฟันล่างยื่น กัดคร่อมฟันบน มักเจอได้บ่อย โดยมากมักมีสาเหตุดังนี้
โครงสร้างกระดูกขากรรไกรผิดปกติ
- ขากรรไกรล่างยาวหรือขากรรไกรบนสั้นเกินไป
ปัญหาเกี่ยวกับฟัน
- ฟันล่างเอนหรือยื่น
- การสูญเสียฟันบางซี่
พันธุกรรม
- มีประวัติในครอบครัว
พฤติกรรมในวัยเด็ก
- การดูดนิ้วหรือกลืนผิดวิธี
ปัจจัยภายนอก
- โรค เช่น ปากแหว่งเพดานโหว่
- อุบัติเหตุหรือปัญหาข้อต่อขากรรไกร
สาเหตุเหล่านี้อาจเกิดเดี่ยวๆ หรือร่วมกันก็ได้
การรักษา
- การจัดฟัน: เพื่อปรับตำแหน่งฟันให้กลับมาสบกันได้ดี
- การผ่าตัดขากรรไกร (Orthognathic surgery): กรณีที่ปัญหาเกิดจากโครงสร้างกระดูก
- การรักษาในวัยเด็ก (Interceptive treatment): การใช้เครื่องมือปรับทิศทางการเจริญเติบโตของขากรรไกร
ในบางกรณีอาจต้องผ่าฟันขากรรไกรร่วมด้วย แต่ในเคสนี้หมอใช้เฉพาะการจัดฟันในการแก้ไขปัญหา โดยจะแบ่งการรักษาออกเป็น 2 ขั้นตอน
- การแก้ไขฟันบน เรียงฟันให้เรียบ แก้ไขฟันซ้อน (ซึ่งรูปที่ดูอยู่นี้เป็นในส่วนขั้นตอนแรก)
- การดึงฟันล่างเข้าเพื่อแก้ไขคางยื่นครับ(การรักษาในลำดับถัดไป)

คางยื่น ฟันหน้าบนซ้อน

ภายหลังติดเครื่องมือเรียงฟัน

ดึงเปิดช่องเตรียมพื้นที่เพื่อดึงฟันซ้อนออกมา

ฟันเรียงสวย ฟันหน้าอยู่ครบ เตรียมดึงฟันล่างเข้าต่อในขั้นต่อไป
คางยื่นบางเคส ในเคสที่ยื่นมากๆ อาจแก้ไม่ได้โดยการจัดฟันเพียงอย่างเดียวครับ อาจต้องมีการศัลยกรรมร่วมด้วย แต่ถ้ายื่นไม่มากส่วนใหญ่ก็มักจะจัดแก้ได้ครับ โดยเฉพาะในเด็กถ้าพบเร็วรักษาได้เร็ว ก็จะจัดง่ายกว่าในวัยผู้ใหญ่ครับ