คนไข้ฟันขึ้นไม่ครบมีฟันน้ำนมไม่หลุดบางซี่ มีฟันเขี้ยวฝังอยู่ใต้กระดูกด้านซ้าย

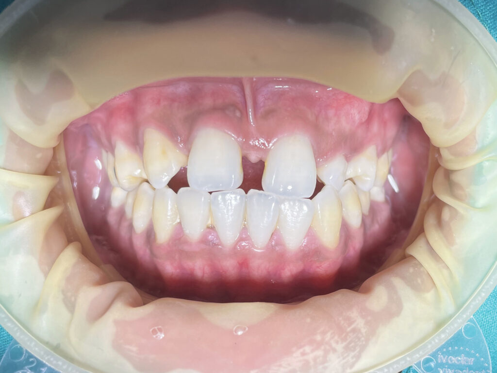
คนไข้มาด้วยปัญหาฟันห่าง ตรวจในช่องปากและx-ray พบว่าฟันหน้าคนไข้หายไป2ซี่(ฟันตัดซี่ข้าง) มีฟันเขี้ยวฝังอยู่ด้านใต้ และฟันเขี้ยวน้ำนมไม่หลุด

ค่อยๆดึงฟันหน้าให้ชิดกัน และดันฟันเขี้ยวให้ขึ้นมา

ฟันหน้าค่อยๆชิดกัน ฟันเขี้ยวค่อยๆโผล่ขึ้นมา

ฟันหน้าเริ่มชิดกันแล้ว เริ่มเห็นฟันเขี้ยวที่ฝังโผล่ขึ้นมา

ฟันหน้าชิดกันดี ติดเครื่องมือที่ฟันเขี้ยว ค่อยๆดึงฟันเขี้ยวลงมาให้เป็นปกติ
