



คนไข้มาด้วยอาการฟันล่างกัดคร่อมฟันบน ฟันหน้าบนบางซี่ซ้อนเก มีฟันเขี้ยวนูนออกมาทางด้านขวาบน

คนไข้มาด้วยอาการฟันยื่นและสบไขว้กันในบางตำแหน่ง ฟันล่างสบลึกกันชนเหงือกด้านบน


คนไข้ฟันหน้าล่างยื่นคร่อมฟันด้านบนวางแผนการรักษาโดยถอนฟันกรามน้อยออกบางซี่เพื่อดึงฟันให้สบเป็นปกติ

คนไข้ฟันหน้าห่าง ปลายฟันบนฟันล่างไม่สบกัน จุดกึ่งกลางฟันบนฟันล่างไม่ตรงกัน ผู้ป่วยมีฟันน้ำนมไม่หลุดอยู่1ซี่ ไม่มีฟันฝังอยู่ด้านใต้

คนไข้ฟันหน้าหายไป 2 ซี่จึงทำให้ฟันห่าง ประกอบกับมีการสบฟันลึก ฟันล่างกัดชนเพดานเหงือกด้านบน

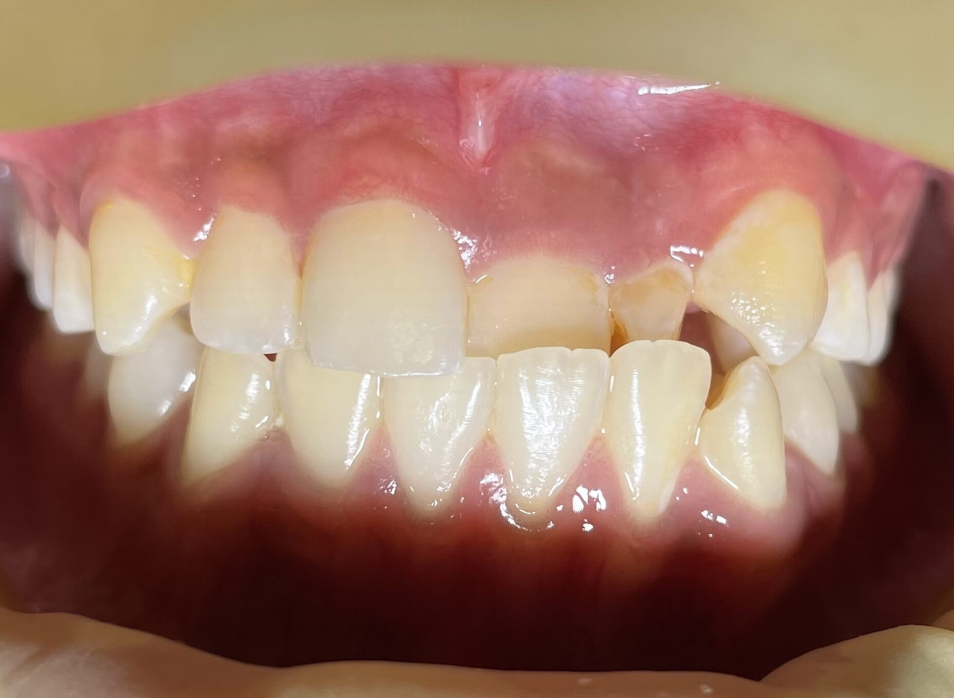
ฟันหน้าด้านล่างคร่อมกับฟันหน้าด้านบนบางส่วน ฟันตัดซี่ข้างบิดหมุน เนื่องจากฟันหน้ากัดคร่อมกันทำให้ปลายฟันหน้าด้านบนเริ่มสึก

เคสนี้คนไข้สูญเสียฟันมาเป็นเวลานาน ทำให้ฟันล้มเค้าหากัน กระดูกรองรับฟันบางตำแหน่งลีบลง